Ms. Robyne Garellek is a professor in Early Childhood Education. She has a master degree in Education and Curriculum, and has been teaching in TAV since 1993.
Mahla: Ms. Garellek, please tell us what started this journey?
Ms. Robyne Garellek: I had very bad migraines and I just didn’t feel right. My whole body didn’t feel right. The tumor was touching the pituitary but at the base of the brain. So, I was gaining weight even though I was eating nothing, and my body was producing its own cortisol. It was like I was on cortisone pills. I kept going to the doctor and he kept telling me there’s nothing wrong with you, it’s all in your head. Well, PS, it was in my head, I had a brain tumor.
Mahla: What made you decide to get this checked out?

Ms. Robyne Garellek: I’ve been going to doctors for years, and I was gaining so much weight that I went to a diet doctor. He took a blood test and from the blood test he didn’t like the results so he sent me to a specialist.
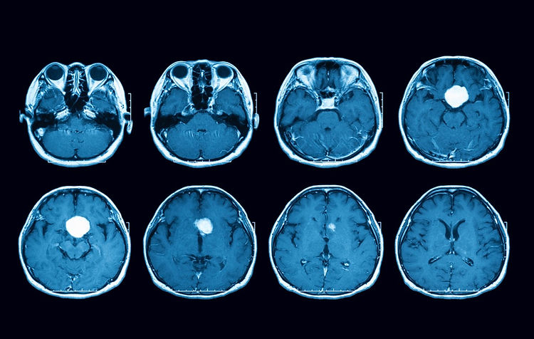
Oh my god, there were so many tests. I did a cat-scan and an MRI. Then, I had to go to have a Venus trapping which is when they put tubes from my groin all the way to my brain. After all the tests, the specialist diagnosed me.
I had to figure out what was wrong with me by reading an article in Good Housekeeping magazine, believe it or not. And it was called “When the adrenal glands go crazy.” It was talking about all the symptoms I had been experiencing. So then I knew I had to go to a specialist.
I had a pituitary tumor that was at the base of the brain, touching the optic nerve. It was about the size of an orange. The doctors said that another month I would have been blind in one eye.
Mahla: Can you please tell us about your treatment process? What were your first thoughts when you faced this huge challenge in your life?
Ms. Robyne Garellek: I could not wait to get the tumor out so that I could look like a normal human being. That was my first thought and, then, I didn’t get scared until after the tumor was taken out. It took about two months until I had the surgery. I was at the Montreal General hospital which was really good. They were really nice. Once I had the tumor taken out, everything went back to normal. I lost about fifty pounds within those first six months. Before I was over 250 pounds.
After the surgery, I was on chemo pills for about two years. That was when many things started. My blood pressure was high, everything was high. Then, I started to have anxiety attacks a few times a day which they treat with pills. It was terrible. I thought I was having a heart attack. I was terrified to be alone, the anxiety was so bad. I was afraid I was going to die alone. It was like everything hit me. I remember sitting in the shower and crying and holding clumps of hair in my hand.

Mahla: How did you overcome these obstacles?
Ms. Robyne Garellek: I went to see a counsellor. My in-laws were very against it because they felt that it should stay within the family. But my husband’s uncle came in from St Louis, and I had a long talk with him; he was a social worker. He spoke to my in-laws, and told them that I needed to get help. I went for almost two years. I saw different people. Yes, for two years of my life I was not available to anybody, not to my husband or to my children. I had a lot of help.
My community was incredible. For two years they sent me meals, and helped me. I had high school students and college students coming to help out with my children. They really took care of us and I give them a lot of credits.
Mahla: Did you choose to let your family and friends know about what you were going through? If yes, what were their reactions and how did their reactions impact you?
Ms. Robyne Garellek: My immediate family knew. I did not tell anybody because I was not sure what was happening. I think I told one friend. My family was scared, but I was worried about my children and this was the most important thing for me. I was worried that my kids might grow up without a mother.
Mahla: What is something that kept you going?

Ms. Robyne Garellek: Before the surgery I was not that stressed. But I remember that after the surgery I prayed to god, please let me live another week. Please let me live another week. I was terrified of dying. The reason was that there were so many changes going on in my body afterwards, I literally was counting the days.
Mahla: How has this experience impacted your life?
Ms. Robyne Garellek: I live for every day. I really try to be the best person I can be. What I think is important for your readers to know is, you know your body. When you feel something is not right, keep going to doctors.
Mahla: What changes would you like to see in the future? This can be about the people’s reactions, comments, treatments, hospitals’ environments and so on.
Ms. Robyne Garellek: I think the problem with the healthcare system is that general practitioners (GP) only know the basics. So, my GP knew nothing. I had to go to a specialist in order to get a diagnosis.
I would like GPs to listen to their patients more, and when a person says something is not right go further than the basics.
Mahla: What messages would you like to provide to the TAV Times readers?
Ms. Robyne Garellek: I think that you should know your body. When you feel that something is totally wrong or something doesn’t feel right, go and check it out. Don’t wait. I waited so long, it was almost two years that I have been suffering before the two years after the surgery. Know your body and keep pushing until you find out what’s wrong with you. Don’t just let it go. Because I would have been blind had I let it go.

